
Skręcone kolano: objawy, stopnie urazu i pierwsza pomoc. Dowiedz się, kiedy ból i obrzęk są sygnałem alarmowym i jak działać po kontuzji. Sprawdź!
Nazywam się Wojciech Kaźmierczak i od ponad 10 lat zajmuję się zdrowiem oraz rehabilitacją. Posiadam wykształcenie w dziedzinie fizjoterapii oraz liczne certyfikaty, które potwierdzają moją wiedzę i umiejętności w zakresie nowoczesnych metod rehabilitacji. Moje doświadczenie obejmuje pracę z pacjentami w różnym wieku oraz z różnymi schorzeniami, co pozwoliło mi na zgłębienie wielu aspektów zdrowia fizycznego i psychicznego. Specjalizuję się w rehabilitacji ruchowej oraz terapii manualnej, a także w edukacji pacjentów na temat zdrowego stylu życia. Uważam, że kluczowym elementem skutecznej rehabilitacji jest indywidualne podejście do każdego pacjenta, dlatego staram się dostosować metody terapeutyczne do ich unikalnych potrzeb i możliwości. Pisząc dla rehabilitacjavojta.pl, moim celem jest dzielenie się rzetelnymi informacjami oraz praktycznymi wskazówkami, które pomogą innym w dążeniu do lepszego zdrowia. Wierzę, że wiedza i zrozumienie są fundamentem skutecznej rehabilitacji, dlatego angażuję się w dostarczanie treści, które są nie tylko informacyjne, ale także inspirujące.

Skręcone kolano: objawy, stopnie urazu i pierwsza pomoc. Dowiedz się, kiedy ból i obrzęk są sygnałem alarmowym i jak działać po kontuzji. Sprawdź!

Szukasz lekarza z haluksami? Dowiedz się, do kogo się udać ortopedy, fizjoterapeuty czy podologa. Poznaj diagnostykę, leczenie i koszty. Sprawdź!

Osteofitoza: Jaka rehabilitacja jest skuteczna? Poznaj najlepsze metody leczenia bólu, poprawy ruchomości i spowolnienia choroby. Sprawdź nasz przewodnik!

Rekonwalescencja po operacji haluksa: kompleksowy poradnik. Dowiedz się, jak dbać o stopę, zminimalizować ból i szybko wrócić do formy.

Szukasz ulgi na ból gardła? Odkryj najlepsze domowe napoje, zioła i przepisy, które szybko nawilżą i ukoją. Sprawdź, czego unikać!

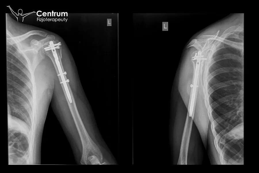
Rehabilitacja po złamaniu kości ramiennej: ile trwa i co wpływa na powrót do sprawności? Poznaj etapy, ćwiczenia i czynniki sukcesu. Sprawdź!

Czy fizjoterapeuta może wystawić skierowanie na badania lub do specjalisty? Sprawdź, na jakie wyroby medyczne wystawi zlecenie i jak je zrealizować.

Skręcenie kostki? Dowiedz się, co robić krok po kroku: pierwsza pomoc (POLICE), objawy, kiedy do lekarza i jak skutecznie rehabilitować. Zadbaj o szybki powrót do zdrowia!

Skręcona noga? Dowiedz się, jak rozpoznać objawy, udzielić pierwszej pomocy i skutecznie leczyć uraz. Sprawdź, jak szybko wrócić do formy!

Ból hemoroidów? Poznaj skuteczne domowe sposoby, leki bez recepty i porady eksperta. Znajdź natychmiastową ulgę i dowiedz się, kiedy iść do lekarza!