Ból po operacji haluksa czego się spodziewać i jak sobie z nim radzić?
- Największe natężenie bólu występuje przez pierwsze 2-3 dni, po czym stopniowo maleje, a po 6 tygodniach staje się minimalny.
- Pełne obciążanie stopy i powrót do normalnego obuwia jest zazwyczaj możliwe po około 6 tygodniach.
- Intensywność i czas trwania bólu zależą od metody operacyjnej (np. małoinwazyjne bolą mniej), rozległości wady oraz indywidualnego progu bólu.
- Kluczowe w łagodzeniu bólu są przepisane leki przeciwbólowe, regularne zimne okłady oraz utrzymywanie stopy w elewacji.
- Wczesna i prawidłowo prowadzona rehabilitacja ma istotny wpływ na redukcję bólu i szybszy powrót do sprawności.
- Należy pilnie skontaktować się z lekarzem, jeśli ból narasta, pojawia się wysoka gorączka, ropny wyciek z rany lub silne zaczerwienienie.

Jak długo boli stopa po operacji haluksa? Oś czasu rekonwalescencji
Proces gojenia po operacji haluksa to podróż, podczas której intensywność bólu ulega stopniowym zmianom. Zrozumienie tej osi czasu pozwala lepiej przygotować się na poszczególne etapy rekonwalescencji i świadomie zarządzać swoim samopoczuciem.
Pierwsze 72 godziny: Jak przetrwać najtrudniejszy okres?
Pierwsze 2-3 dni po operacji to zazwyczaj okres największego nasilenia bólu. Jest to bezpośrednia konsekwencja interwencji chirurgicznej przecięcia kości i naruszenia tkanek. Dolegliwości są odczuwalne jako silne, często pulsujące. Na szczęście, w tym czasie lekarz przepisuje silne leki przeciwbólowe, które skutecznie kontrolują ten dyskomfort, pozwalając pacjentowi przetrwać najtrudniejszy okres.
Tydzień 1-2: Ból maleje, ale obrzęk wciąż daje o sobie znać
W ciągu pierwszych dwóch tygodni po zabiegu można zaobserwować stopniowe zmniejszanie się bólu. Nadal jest on jednak odczuwalny, szczególnie podczas prób poruszania stopą czy przenoszenia na nią ciężaru. Około 14 dni po operacji zazwyczaj następuje zdjęcie szwów. W tym okresie niezwykle ważne jest utrzymywanie stopy w pozycji leżącej, uniesionej powyżej poziomu serca. Elewacja pomaga znacząco zredukować obrzęk, który często towarzyszy bólowi i utrudnia gojenie.
Tydzień 3-6: Czas na gojenie kości i poruszanie się w bucie ortopedycznym
Między drugim a szóstym tygodniem po operacji ból powinien znacząco ustąpić. Często przybiera formę łagodnego "ćmienia" lub pojawia się dopiero po dłuższym wysiłku, takim jak stanie czy chodzenie. W tym okresie pacjent korzysta ze specjalnego buta ortopedycznego, który zapewnia odciążenie przodostopia i chroni operowane miejsce. Jest to kluczowy czas dla procesu zrostu kostnego, który postępuje w kontrolowanych warunkach.
Po 6 tygodniach: Kiedy ból powinien stać się już tylko wspomnieniem?
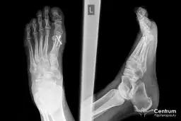
Po upływie sześciu tygodni od operacji, codzienne aktywności zazwyczaj nie powinny wiązać się z odczuwaniem bólu. Po potwierdzeniu prawidłowego zrostu kostnego na zdjęciu rentgenowskim, pacjent może stopniowo wracać do noszenia normalnego obuwia i pełnego obciążania stopy. Warto jednak pamiętać, że po bardziej intensywnym wysiłku, dolegliwości mogą jeszcze sporadycznie powracać.
Długoterminowe dolegliwości: Czy stopa będzie boleć po kilku miesiącach?
Chociaż ostry ból po operacji haluksa zazwyczaj mija po kilku tygodniach, obrzęk może utrzymywać się znacznie dłużej, nawet przez kilka miesięcy. Jego nasilenie jest największe w początkowych fazach rekonwalescencji, ale stopniowo ustępuje. Sporadyczne, łagodne dolegliwości mogą pojawiać się po intensywniejszym wysiłku fizycznym, nawet po dłuższym czasie od zabiegu. Jest to normalne i zazwyczaj nie świadczy o powikłaniach.
Co wpływa na intensywność i czas trwania bólu po haluksach?
Intensywność i czas trwania bólu po operacji haluksa to kwestie złożone, na które wpływa wiele czynników. Zrozumienie ich pozwala lepiej zarządzać procesem rekonwalescencji i mieć realistyczne oczekiwania co do powrotu do pełnej sprawności.
Metoda operacji ma znaczenie: Dlaczego zabiegi małoinwazyjne bolą mniej?
Współczesna chirurgia stopy oferuje wiele technik operacyjnych, a ich wybór ma bezpośredni wpływ na odczuwany ból po zabiegu. Nowoczesne, małoinwazyjne metody, takie jak technika MICA, charakteryzują się mniejszymi cięciami i mniejszym urazem tkanek. W efekcie pacjenci odczuwają mniejszy ból, a ich powrót do sprawności jest szybszy w porównaniu do klasycznych, bardziej rozległych metod operacyjnych. Warto wiedzieć, że istnieje ponad 100 różnych technik operacyjnych, a lekarz dobiera najodpowiedniejszą do indywidualnego przypadku.Twój indywidualny próg bólu a realne odczucia
Każdy z nas inaczej reaguje na ból. To, co dla jednej osoby jest lekkim dyskomfortem, dla innej może być silnym cierpieniem. Indywidualny próg bólu jest cechą wrodzoną i wpływa na subiektywne odczuwanie dolegliwości po operacji, niezależnie od obiektywnych czynników medycznych.
Rozległość wady: Jak zaawansowany haluks wpływa na rekonwalescencję?
Im większa i bardziej zaawansowana była deformacja stopy przed operacją, tym bardziej skomplikowany i rozległy zabieg chirurgiczny jest zazwyczaj konieczny. Większa ingerencja w tkanki i kości może potencjalnie wiązać się z większymi dolegliwościami bólowymi w okresie pooperacyjnym oraz nieco dłuższym czasem rekonwalescencji.
Skuteczne metody łagodzenia bólu po operacji haluksa
Zarządzanie bólem po operacji haluksa wymaga kompleksowego podejścia, łączącego farmakologię z metodami fizykalnymi. Stosowanie się do zaleceń lekarza i fizjoterapeuty jest kluczowe dla komfortu i prawidłowego gojenia.
Leki przeciwbólowe: Co przepisze lekarz i jak je stosować?
Podstawą kontroli bólu po operacji są leki przeciwbólowe przepisane przez lekarza. Ich dobór i dawkowanie są dostosowane do natężenia bólu i indywidualnych potrzeb pacjenta. Oprócz leków przeciwbólowych, lekarz może zalecić również leki przeciwzakrzepowe w formie zastrzyków, aby zapobiec powikłaniom zakrzepowo-zatorowym, a w niektórych przypadkach antybiotyki w celu profilaktyki infekcji.

Potęga chłodu: Jak i jak często stosować zimne okłady?
Zimne okłady to nieoceniona pomoc w pierwszych dniach po operacji. Stosowanie ich regularnie pomaga znacząco zredukować obrzęk i złagodzić ból poprzez miejscowe obkurczenie naczyń krwionośnych. Zaleca się przykładanie okładów na około 15-20 minut co kilka godzin, pamiętając o umieszczeniu między skórą a okładem cienkiej warstwy materiału, aby uniknąć odmrożeń.
Elewacja, czyli noga w górę! Dlaczego to tak ważne dla redukcji bólu i obrzęku?
Utrzymywanie operowanej stopy w pozycji leżącej, uniesionej powyżej poziomu serca, jest jednym z najważniejszych zaleceń pooperacyjnych. Elewacja ułatwia odpływ limfy i krwi z kończyny, co skutecznie zmniejsza obrzęk i związany z nim ból. Zaleca się stosowanie tej metody przez większość czasu w pierwszych tygodniach po zabiegu, szczególnie podczas odpoczynku.
Specjalistyczny but pooperacyjny: Twój sprzymierzeniec w walce z bólem podczas chodzenia
Przez około 6 tygodni po operacji, gdy pełne obciążanie stopy jest jeszcze niemożliwe, kluczową rolę odgrywa specjalny but pooperacyjny. Został on zaprojektowany tak, aby odciążać przodostopie i chronić operowane miejsce podczas chodzenia. Umożliwia on bezpieczne poruszanie się, minimalizując nacisk na bolesne obszary i wspierając proces gojenia.
Rehabilitacja po operacji haluksa: Kiedy pomaga, a kiedy szkodzi?
Rehabilitacja odgrywa fundamentalną rolę w procesie powrotu do zdrowia po operacji haluksa. Wczesne i prawidłowo prowadzone ćwiczenia mogą znacząco przyspieszyć gojenie, zmniejszyć ból i zapobiec powikłaniom.
Pierwsze kroki z fizjoterapeutą: Kiedy zacząć rehabilitację, by przyspieszyć gojenie?
Wbrew pozorom, rehabilitacja nie powinna czekać do momentu całkowitego ustąpienia bólu. Wczesne rozpoczęcie ćwiczeń, oczywiście pod okiem doświadczonego fizjoterapeuty i zgodnie z zaleceniami lekarza, jest kluczowe. Odpowiednio dobrane ćwiczenia pomagają przywrócić prawidłowy zakres ruchu w stawie skokowym, wzmocnić mięśnie i poprawić krążenie, co przekłada się na szybsze gojenie i mniejsze dolegliwości bólowe. Zbyt intensywna lub nieprawidłowo wykonana rehabilitacja może jednak przynieść odwrotny skutek, dlatego tak ważna jest profesjonalna opieka.
Niepokojące objawy po operacji haluksa: Kiedy szukać pomocy?
Chociaż pewien poziom bólu i dyskomfortu jest normalny po operacji, istnieją sygnały alarmowe, które powinny skłonić do natychmiastowego kontaktu z lekarzem. Wczesne rozpoznanie potencjalnych powikłań jest kluczowe dla skutecznego leczenia.
Ból, który narasta zamiast maleć: Sygnał alarmowy
Najważniejszym sygnałem ostrzegawczym jest ból, który zamiast stopniowo ustępować, zaczyna się nasilać. Może to świadczyć o rozwijającym się stanie zapalnym, infekcji lub innym problemie wymagającym pilnej interwencji medycznej.
Gorączka, ropny wyciek, silne zaczerwienienie objawy infekcji
Wysoka gorączka, pojawienie się ropnego wycieku z rany operacyjnej, a także silne, rozległe zaczerwienienie wokół rany to objawy, które mogą wskazywać na infekcję bakteryjną. W takiej sytuacji konieczna jest natychmiastowa konsultacja lekarska i wdrożenie odpowiedniego leczenia.
Kiedy należy bezwzględnie skontaktować się z lekarzem operującym?
- Narastający ból, który zamiast maleć, staje się coraz silniejszy.
- Wysoka gorączka, która nie ustępuje.
- Wyciek ropny z rany operacyjnej.
- Silne zaczerwienienie i obrzęk wokół rany, które się nasilają.
- Niepokojące zmiany w wyglądzie stopy, takie jak sinienie lub drętwienie, które nie ustępują.
W przypadku wystąpienia któregokolwiek z powyższych objawów, nie należy zwlekać z kontaktem z lekarzem operującym. Szybka reakcja może zapobiec poważniejszym komplikacjom.
Przeczytaj również: Ból dziąsła: Szybkie domowe sposoby, leki i kiedy iść do dentysty
Powrót do codzienności po operacji haluksa: Co musisz wiedzieć?
Powrót do normalnego życia po operacji haluksa to proces stopniowy, który wymaga cierpliwości i przestrzegania zaleceń lekarskich. Realistyczne podejście do tempa rekonwalescencji pozwala uniknąć rozczarowań i przyspieszyć powrót do pełnej sprawności.
Chodzenie bez bólu: Kiedy odstawisz kule i but ortopedyczny?
Przez około sześć tygodni po operacji pacjent porusza się przy pomocy kul i nosi specjalny but pooperacyjny, który odciąża operowaną stopę. Po tym okresie, jeśli zdjęcie RTG potwierdzi prawidłowy zrost kostny, można stopniowo zacząć nosić normalne obuwie i w pełni obciążać stopę. Początkowo chodzenie może być jeszcze nieco niepewne, a ból może pojawić się po dłuższym wysiłku, ale z każdym dniem powinno być coraz łatwiej.
Ile zwolnienia lekarskiego (L4) potrzebujesz? Praca siedząca a fizyczna
Standardowy okres zwolnienia lekarskiego (L4) po operacji haluksa wynosi zazwyczaj od trzech do sześciu tygodni. Czas ten jest jednak mocno uzależniony od rodzaju wykonywanej pracy. Osoby pracujące w zawodach siedzących mogą wrócić do aktywności zawodowej wcześniej, podczas gdy pracownicy fizyczni często potrzebują dłuższego okresu rekonwalescencji. Metoda operacyjna również ma wpływ na długość zwolnienia.Powrót do sportu i pełnej aktywności: Jak uniknąć nawrotu dolegliwości?
Powrót do sportu i pełnej aktywności fizycznej powinien być procesem stopniowym. Nawet po upływie sześciu tygodni, intensywniejszy wysiłek może powodować przejściowe dolegliwości. Zaleca się, aby powrót do sportu był konsultowany z fizjoterapeutą, który pomoże dobrać odpowiednie ćwiczenia i obciążenia. Stopniowe zwiększanie intensywności i unikanie nagłych, forsownych ruchów pozwoli zminimalizować ryzyko nawrotu bólu i innych powikłań.






