Operacja haluksa: od zabiegu po pełną sprawność poznaj szczegółowe ramy czasowe
- Sam zabieg operacji haluksa trwa zazwyczaj od 30 do 60 minut, lecz może wydłużyć się do 1-2 godzin w zależności od metody i stopnia deformacji.
- Pobyt w szpitalu to najczęściej chirurgia jednego dnia, trwająca od 2 do 6 godzin po operacji, rzadziej 1-2 dni.
- But ortopedyczny jest niezbędny przez 3 do 6 tygodni, a pełne obciążenie stopy jest możliwe po około 6 tygodniach.
- Całkowity powrót do pełnej aktywności, w tym sportowej, zajmuje od 3 do 6 miesięcy.
- Długość zwolnienia lekarskiego (L4) waha się od 10-14 dni (praca biurowa) do 3-6 tygodni (praca fizyczna).
- Obrzęk po operacji może utrzymywać się nawet do 4-5 miesięcy.
Operacja haluksa: ile naprawdę potrwa? Przewodnik po ramach czasowych
Dlaczego precyzyjne określenie czasu jest kluczowe dla twojego spokoju i przygotowania?
Z mojego doświadczenia wiem, że dla pacjentów przygotowujących się do operacji haluksa, jednym z największych źródeł niepokoju jest niepewność co do czasu trwania całego procesu. Naturalne jest, że chcesz wiedzieć, ile czasu zajmie sam zabieg, jak długo będziesz w szpitalu, a przede wszystkim kiedy wrócisz do pełnej sprawności. Precyzyjne zrozumienie tych ram czasowych jest absolutnie kluczowe. Pozwala nie tylko na lepsze zaplanowanie życia zawodowego i prywatnego, ale także znacząco redukuje stres i pozwala psychicznie przygotować się na nadchodzący okres rekonwalescencji. W tym artykule postaram się odpowiedzieć na wszystkie kluczowe pytania dotyczące czasu trwania zabiegu, pobytu w szpitalu, rekonwalescencji i zwolnienia lekarskiego, abyś czuł się pewnie i świadomie podchodził do leczenia.Od czego zależy całkowity czas leczenia: 3 najważniejsze czynniki
Całkowity czas leczenia i rekonwalescencji po operacji haluksa to nie tylko czas spędzony na stole operacyjnym. To złożony proces, na który wpływa wiele zmiennych. Jako specjalista zawsze podkreślam, że każdy przypadek jest indywidualny, ale istnieją trzy główne czynniki, które w największym stopniu determinują długość całego procesu:
- Zastosowana metoda operacyjna: Różne techniki chirurgiczne mają odmienne protokoły rekonwalescencji.
- Stopień skomplikowania deformacji: Bardziej zaawansowane haluksy lub współistniejące problemy wymagają dłuższego czasu.
- Indywidualne predyspozycje pacjenta do gojenia: Wiek, ogólny stan zdrowia i przestrzeganie zaleceń pooperacyjnych mają ogromne znaczenie.

Ile czasu spędzisz na sali operacyjnej? Rozkładamy zabieg na części
Standardowy czas trwania operacji: widełki czasowe, których możesz się spodziewać
Sam zabieg operacji haluksa, czyli korekcja palucha koślawego, zazwyczaj trwa od 30 do 60 minut. To jest standardowy czas, który rezerwujemy na przeprowadzenie procedury. Muszę jednak zaznaczyć, że w niektórych przypadkach, gdy deformacja jest bardziej zaawansowana, wymaga zastosowania bardziej złożonej techniki lub konieczne jest skorygowanie innych zniekształceń stopy, czas ten może się wydłużyć nawet do 1-2 godzin. Zawsze staramy się działać precyzyjnie i efektywnie, ale bezpieczeństwo i dokładność są dla mnie priorytetem.
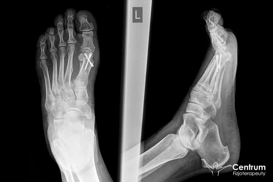
Metoda operacyjna a długość zabiegu: Scarf, Chevron, MICA co to oznacza dla ciebie?
Wybór metody operacyjnej ma bezpośredni wpływ zarówno na długość samego zabiegu, jak i na przebieg rekonwalescencji. W Polsce stosujemy wiele technik, a do najpopularniejszych należą metody Scarf, Chevron, Akin, Lapidus. Każda z nich ma swoje wskazania i specyfikę. Na przykład, techniki takie jak Scarf czy Chevron, polegające na osteotomii (przecięciu kości) i stabilizacji śrubami, mogą trwać nieco dłużej ze względu na precyzję cięć i mocowania. Coraz większą popularność zdobywa metoda MICA (Minimal Invasive Chevron Akin), czyli technika przezskórna. Jest ona małoinwazyjna, co często przekłada się na krótszy czas operacji i, co ważne dla pacjenta, potencjalnie szybszy powrót do sprawności, choć nie zawsze jest to regułą i zależy od indywidualnego przypadku.
Stopień deformacji stopy: jak zaawansowanie problemu wpływa na pracę chirurga?
Nie da się ukryć, że im bardziej zaawansowana jest deformacja palucha koślawego, tym więcej pracy czeka chirurga. Prosta korekcja niewielkiego haluksa to zupełnie inna bajka niż skorygowanie dużej deformacji, często połączonej z artrozą stawu czy współistniejącymi zniekształceniami, takimi jak palce młotkowate. W takich przypadkach musimy wykonać dodatkowe procedury, co oczywiście wydłuża czas spędzony na sali operacyjnej. Moim zadaniem jest zapewnić kompleksową korekcję, która przyniesie najlepsze i najtrwalsze efekty, a to czasami wymaga poświęcenia dodatkowych minut.
Dzień zabiegu: harmonogram od przyjęcia do wypisu
Przygotowanie i znieczulenie: ile trwa ta faza i jakie są najczęstsze metody?
Dzień operacji to nie tylko sam zabieg. Zaczyna się on znacznie wcześniej, od momentu przyjęcia do placówki. Pacjent musi przejść przez szereg procedur przygotowawczych, które obejmują konsultacje z lekarzem i anestezjologiem, a także finalne badania kontrolne. Na około dwa tygodnie przed zabiegiem konieczne jest wykonanie badań takich jak:
- Morfologia krwi
- Układ krzepnięcia
- EKG
Ważne jest również, aby na około 7 dni przed operacją odstawić leki rozrzedzające krew zawsze należy to skonsultować z lekarzem prowadzącym. Samo podanie znieczulenia to również proces, który zajmuje trochę czasu. Najczęściej stosujemy:
- Znieczulenie podpajęczynówkowe: Pacjent jest znieczulony od pasa w dół, pozostając przytomnym.
- Blokada nerwów obwodowych: Znieczulenie dotyczy tylko samej stopy.
- Znieczulenie ogólne: Stosowane rzadziej, gdy są ku temu konkretne wskazania.
Cała ta faza, od przyjęcia do pełnego znieczulenia, może trwać od kilkudziesięciu minut do godziny, a jej czas jest oczywiście wliczony w ogólny pobyt w placówce.
Czas na bloku operacyjnym: więcej niż tylko sam zabieg
Gdy mówimy o czasie spędzonym "na bloku operacyjnym", często myślimy tylko o momencie, gdy chirurg wykonuje cięcia. W rzeczywistości jest to znacznie dłuższy okres. Obejmuje on nie tylko sam zabieg, ale także czas potrzebny na przygotowanie pacjenta na stole operacyjnym, precyzyjne ułożenie, wprowadzenie w znieczulenie, a następnie, po zakończeniu operacji, wybudzanie i monitorowanie stanu pacjenta. Wszystko to dzieje się w sterylnych warunkach bloku operacyjnego i jest niezbędne dla Twojego bezpieczeństwa i komfortu.
Pobyt w szpitalu: czy to zawsze chirurgia jednego dnia?
W większości przypadków operacja korekcji palucha koślawego jest wykonywana w ramach chirurgii jednego dnia. Oznacza to, że po zabiegu pacjent pozostaje w placówce medycznej przez kilka godzin zazwyczaj od 2 do 6 godzin na obserwacji pooperacyjnej, a następnie może wrócić do domu. Jest to możliwe dzięki nowoczesnym technikom operacyjnym i skutecznym metodom znieczulenia. Jednak w niektórych sytuacjach, na przykład w przypadku bardziej skomplikowanych zabiegów, współistniejących chorób pacjenta lub gdy konieczne jest dłuższe monitorowanie, pobyt w szpitalu może wydłużyć się do 1-2 dni. Zawsze dążę do tego, aby pacjent czuł się bezpiecznie i komfortowo, zanim opuści szpital.

Krok po kroku do pełnej sprawności: szczegółowa oś czasu rekonwalescencji
Pierwsze 2 tygodnie: szwy, opatrunki i poruszanie się o kulach
Pierwsze dwa tygodnie po operacji to okres intensywnego gojenia i ścisłego przestrzegania zaleceń. Bezpośrednio po zabiegu stopa jest unieruchomiona w specjalnym bucie ortopedycznym, który odciąża przodostopie. W tym czasie poruszanie się jest możliwe wyłącznie o kulach łokciowych, aby uniknąć obciążania operowanej stopy. Bardzo ważne są regularne zmiany opatrunków, które pomagają utrzymać higienę rany i zapobiegają infekcjom. Szwy zazwyczaj usuwamy po około 10-18 dniach od zabiegu. To moment, w którym rana jest już wstępnie zagojona, ale pełna stabilność kości wciąż wymaga czasu.
Okres od 3 do 6 tygodni: kluczowy czas w bucie ortopedycznym i początki rehabilitacji
Okres od 3 do 6 tygodni po operacji jest absolutnie kluczowy dla prawidłowej rekonwalescencji. Przez cały ten czas pacjent musi konsekwentnie nosić specjalny but ortopedyczny, który chroni operowaną stopę i umożliwia bezpieczne, częściowe obciążanie pięty. W niektórych, bardziej złożonych przypadkach, ten okres może wydłużyć się nawet do 7-8 tygodni. To właśnie w tym etapie zazwyczaj rozpoczynamy intensywną rehabilitację. Fizjoterapia jest niezbędna do przywrócenia pełnego zakresu ruchu w stawie, wzmocnienia mięśni i poprawy propriocepcji. Nie wolno jej zaniedbywać!
Po 6 tygodniach: kiedy odstawisz kule i zaczniesz w pełni obciążać stopę?
Po około 6 tygodniach od operacji, po kontroli lekarskiej i wykonaniu kontrolnego zdjęcia RTG, które potwierdzi prawidłowe zrosty kostne, zazwyczaj możliwe jest pełne obciążanie stopy i stopniowe odstawienie kul. To bardzo wyczekiwany moment dla pacjentów! Pamiętaj jednak, że nawet po odstawieniu kul, stopa może być wciąż nieco obrzęknięta. Obrzęk po operacji haluksa jest zjawiskiem naturalnym i może utrzymywać się nawet do 4-5 miesięcy, stopniowo ustępując. Ważne jest, aby nadal dbać o stopę i kontynuować zaleconą fizjoterapię.
3 do 6 miesięcy: powrót do ulubionych butów, sportu i pełnej aktywności
Ostatni etap rekonwalescencji to powrót do pełnej aktywności. Trwa on zazwyczaj od 3 do 6 miesięcy po operacji. W tym czasie, dzięki intensywnej rehabilitacji (która powinna trwać około 2-3 miesiące), stopa stopniowo odzyskuje pełną sprawność. To moment, w którym możesz zacząć nosić swoje ulubione buty, a także stopniowo wracać do aktywności sportowych. Oczywiście, zawsze zalecam ostrożność i stopniowe zwiększanie obciążeń. Pełny powrót do sportów wymagających dynamicznych ruchów i dużych obciążeń może zająć nawet do pół roku, ale cierpliwość i konsekwencja w rehabilitacji z pewnością się opłacą.
Powrót do codzienności: jak operacja wpłynie na twoją pracę i życie?
Zwolnienie lekarskie (L4): jak długie zwolnienie cię czeka w zależności od zawodu?
Długość zwolnienia lekarskiego (L4) po operacji haluksa jest kwestią, która budzi wiele pytań. Z mojego doświadczenia wynika, że jest ona ściśle uzależniona od rodzaju wykonywanej pracy. Nie ma jednej uniwersalnej odpowiedzi, ponieważ inaczej wygląda powrót do pracy biurowej, a inaczej do zawodu wymagającego długotrwałego stania czy ciężkiej pracy fizycznej. Zawsze staram się indywidualnie ocenić sytuację pacjenta, aby zapewnić mu optymalny czas na regenerację.
Praca biurowa vs. praca fizyczna: dwa różne scenariusze powrotu do obowiązków
Aby lepiej zobrazować różnice w długości zwolnienia lekarskiego, przygotowałem krótkie zestawienie:
| Rodzaj pracy | Przewidywany czas zwolnienia lekarskiego |
|---|---|
| Praca biurowa (siedząca) | 10-14 dni (pod warunkiem możliwości trzymania nogi w podwyższonej pozycji) |
| Praca fizyczna (stojąca, wymagająca chodzenia, podnoszenia ciężarów) | 3-6 tygodni (w bardziej skomplikowanych przypadkach nawet do 8-10 tygodni) |
Jak widać, różnice są znaczące. W przypadku pracy biurowej, gdzie możesz utrzymać stopę w wygodnej pozycji, powrót jest znacznie szybszy. Natomiast praca wymagająca obciążania stopy, długiego stania czy noszenia ciężarów, wymaga znacznie dłuższego okresu rekonwalescencji, aby uniknąć powikłań i zapewnić prawidłowe gojenie.
Kiedy znowu usiądziesz za kierownicą samochodu?
Prowadzenie samochodu po operacji haluksa to kolejna kwestia, która często nurtuje pacjentów. Zazwyczaj zalecam powrót do kierowania pojazdem dopiero po okresie pełnego obciążenia stopy, czyli około 6 tygodniach od zabiegu. Jest to czas, w którym stopa jest już na tyle stabilna i sprawna, że możesz bezpiecznie używać pedałów. Oczywiście, ostateczna decyzja zawsze należy do lekarza prowadzącego, który oceni Twój indywidualny postęp w rekonwalescencji i wyda zgodę na powrót za kierownicę. Bezpieczeństwo jest najważniejsze!
Czy można przyspieszyć proces gojenia? Kluczowe zalecenia
Rola fizjoterapii w skracaniu rekonwalescencji
Z mojego punktu widzenia, fizjoterapia jest absolutnie kluczowa i wręcz niezbędna do skrócenia czasu rekonwalescencji i osiągnięcia pełnej sprawności po operacji haluksa. Nie jest to jedynie dodatek, ale integralna część procesu leczenia. Intensywna rehabilitacja, trwająca zazwyczaj około 2-3 miesiące, pomaga przywrócić zakres ruchu w stawie, wzmocnić mięśnie stopy i łydki, poprawić równowagę i koordynację. Regularne ćwiczenia pod okiem doświadczonego fizjoterapeuty znacząco przyspieszają powrót do codziennych aktywności i minimalizują ryzyko powikłań.
Przeczytaj również: Haluksy: Skuteczne ćwiczenia domowe, które naprawdę działają
Najczęstsze błędy pacjentów, które wydłużają powrót do zdrowia: jak ich uniknąć?
Niestety, często spotykam się z błędami popełnianymi przez pacjentów, które niepotrzebnie wydłużają proces gojenia. Chciałbym Cię przed nimi przestrzec:
- Zbyt wczesne obciążanie stopy: To jeden z najczęstszych i najbardziej szkodliwych błędów. Przedwczesne obciążanie operowanej stopy może prowadzić do przemieszczenia się kości, uszkodzenia zrostów i konieczności ponownej interwencji chirurgicznej.
- Rezygnacja z rehabilitacji: Nawet jeśli czujesz się dobrze, nie rezygnuj z zaleconej fizjoterapii. To ona gwarantuje pełny powrót do sprawności i zapobiega sztywności stawów.
- Nieprzestrzeganie zaleceń lekarza: Dotyczy to zarówno noszenia buta ortopedycznego, jak i przyjmowania leków czy dbania o higienę rany. Każde zalecenie ma swoje uzasadnienie.
- Ignorowanie bólu lub obrzęku: Jeśli coś Cię niepokoi, skonsultuj się z lekarzem. Nie bagatelizuj objawów, myśląc, że "samo przejdzie".
- Zbyt szybki powrót do sportu: Chęć szybkiego powrotu do aktywności fizycznej jest zrozumiała, ale musi być stopniowa i kontrolowana. Zbyt intensywny wysiłek może przeciążyć gojące się tkanki.
Pamiętaj, że Twoja aktywna współpraca i konsekwencja w przestrzeganiu zaleceń są kluczowe dla sukcesu operacji i szybkiego powrotu do pełnej sprawności.






